Αναδείξτε το καλλιτεχνικό σας ταλέντο με τα tutorials του HeraCeram cre-active, με εξειδικευμένες συμβουλές και τεχνικές για μοναδικές, εξατομικευμένες αποκαταστάσεις.
Πολυστρωματικός σκελετός ζιρκονίας – έτοιμος για εξατομίκευση.
Ενίσχυση του χρωματικού τόνου στην αυχενική περιοχή: Χρωματισμός της κάτω περιοχής του σώματος με HeraCeram cre‑active 2D Body A και εφαρμογή HeraCeram cre‑active 2D Peanut στην αυχενική περιοχή. Σχεδίαση λεπτών γραμμών οριζόντια στην εγγύς περιοχή με HeraCeram cre‑active 2D Coffee.
Δημιουργία διαφάνειας και αντίθεσης στην κοπτική περιοχή: Δημιουργία εφέ διαφάνειας στην κοπτική περιοχή με HeraCeram cre‑active 2D Aubergine. Δημιουργία μορφολογίας επαρμάτων με HeraCeram cre‑active 2D MD3 και ενίσχυσή της με HeraCeram cre‑active 2D VL3.
Ρύθμιση διαφάνειας και αντίθεσης στην κοπτική περιοχή: Ενίσχυση των κοπτικών επαρμάτων με HeraCeram cre‑active 2D Anthracite και HeraCeram cre‑active 2D Pacific. Δημιουργία περικυμάτων με HeraCeram cre‑active 2D Milk. Αύξηση της διαφάνειας στην κοπτική περιοχή με HeraCeram cre‑active 2D Anthracite. Δημιουργία διαφάνειας με HeraCeram cre‑active 2D Pacific στη μεσική κοπτική άκρη. Ενίσχυση της έντασης του χρώματος στην κοπτική περιοχή με HeraCeram cre‑active 2D Amber.
Ρωγμές αδαμαντίνης και λευκή κηλίδα (lime spot): Δημιουργία λευκής κηλίδας (lime spot) και ρωγμών αδαμαντίνης με HeraCeram cre‑active 2D Milk.
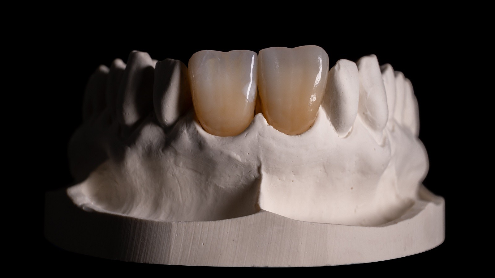
Τελικό αποτέλεσμα μετά την όπτηση του HeraCeram cre‑active 2D.
Ρωγμές αδαμαντίνης και λευκή κηλίδα (lime spot): Δημιουργία ρωγμών αδαμαντίνης με HeraCeram cre‑active 2D Milk και δημιουργία λευκής κηλίδας (lime spot) με την εφαρμογή HeraCeram cre‑active Glaze αναμεμειγμένου με HeraCeram cre‑active 2D Milk