HeraCeram cre-active: Η έννοια του κλασικού μακιγιάζ
Αναβαθμίστε τις μονολιθικές σας αποκαταστάσεις με την έννοια του κλασικού μακιγιάζ του HeraCeram cre-active. Πετύχετε εντυπωσιακά αποτελέσματα χωρίς κόπο χρησιμοποιώντας τα υγρά κεραμικά χρώματα 2D μας.
Thomas Backscheider, οδοντοτεχνίτης
"Θα σας δείξω πώς να πετύχετε εντυπωσιακά αποτελέσματα με 2D staining – πιστοί στο μότο: φέρτε αγάπη από την παλέτα στο δόντι."
Η ΕΝΝΟΙΑ ΤΟΥ ΚΛΑΣΙΚΟΥ ΜΑΚΙΓΙΑΖ
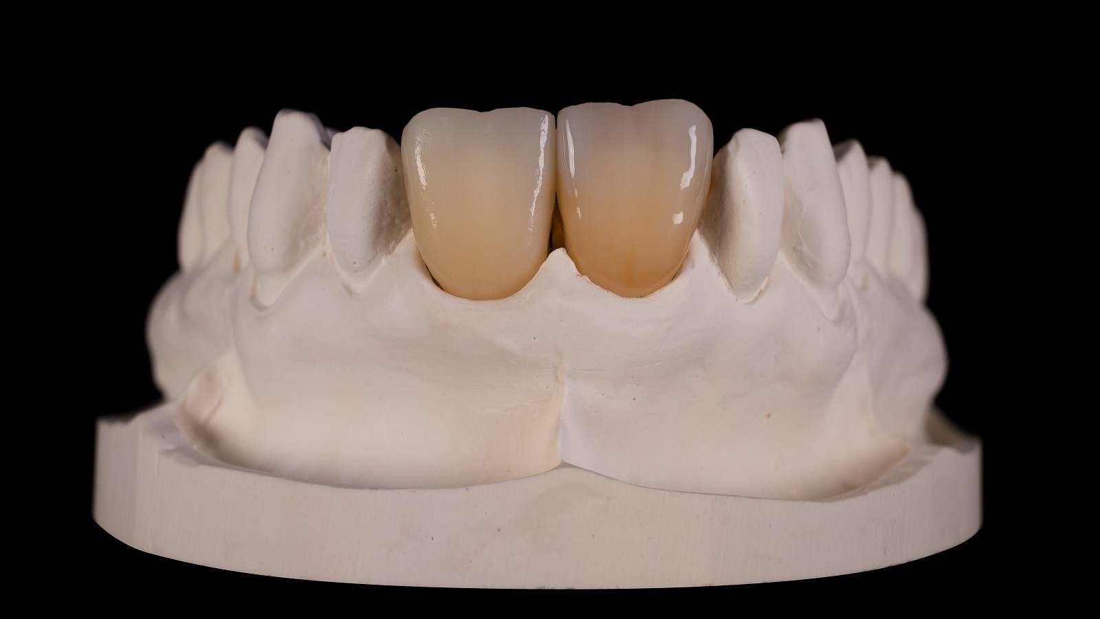
Πολυστρωματικοί σκελετοί ζιρκονίας σε μέγεθος A3 – έτοιμοι για εξατομίκευση.
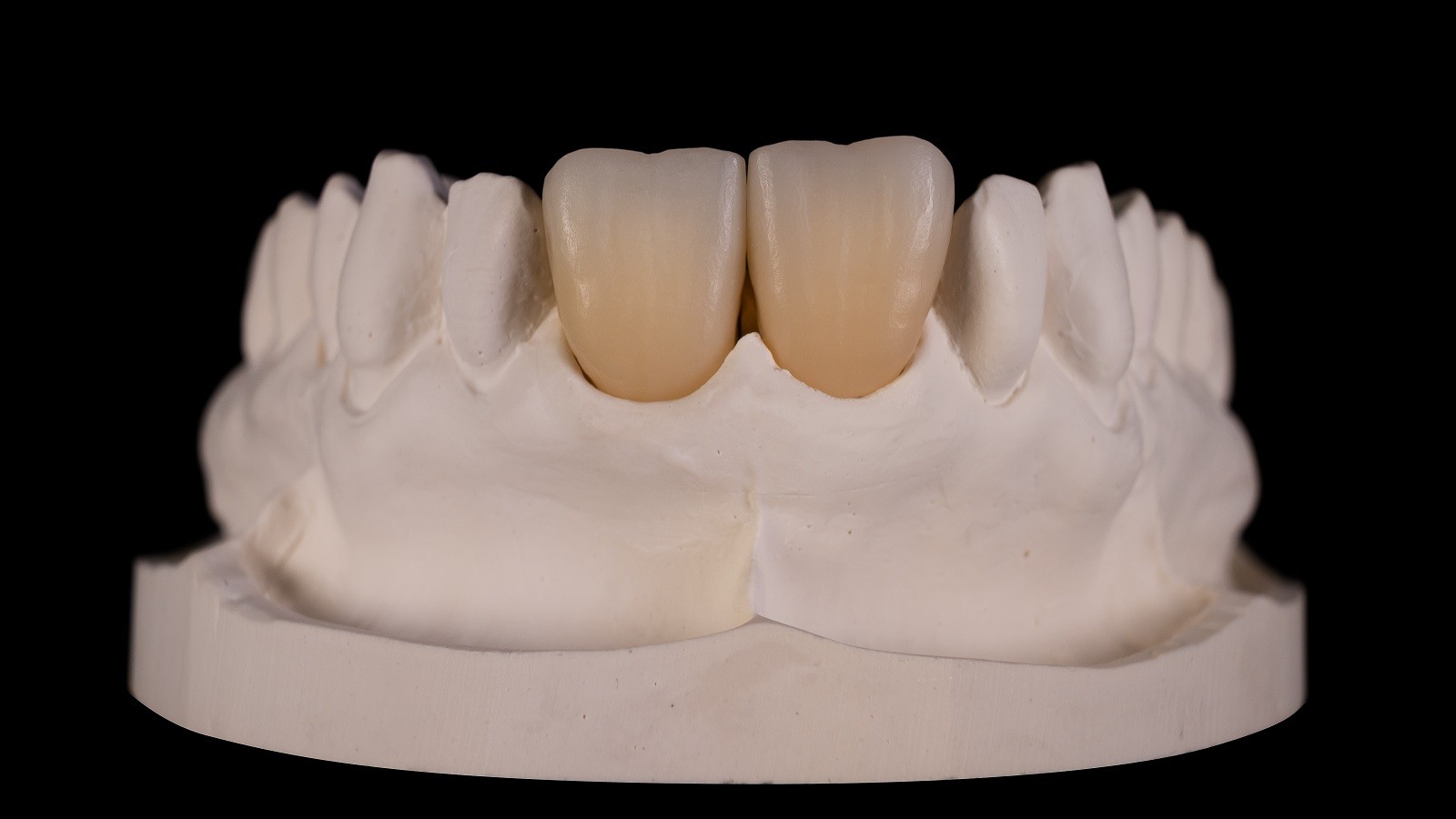
Λεπτά επικαλύψτε την επιφάνεια με HeraCeram cre-active Glaze και ενισχύστε τη χρωματική ένταση (chroma) στην αυχενική περιοχή με HeraCeram cre-active 2D Peanut.
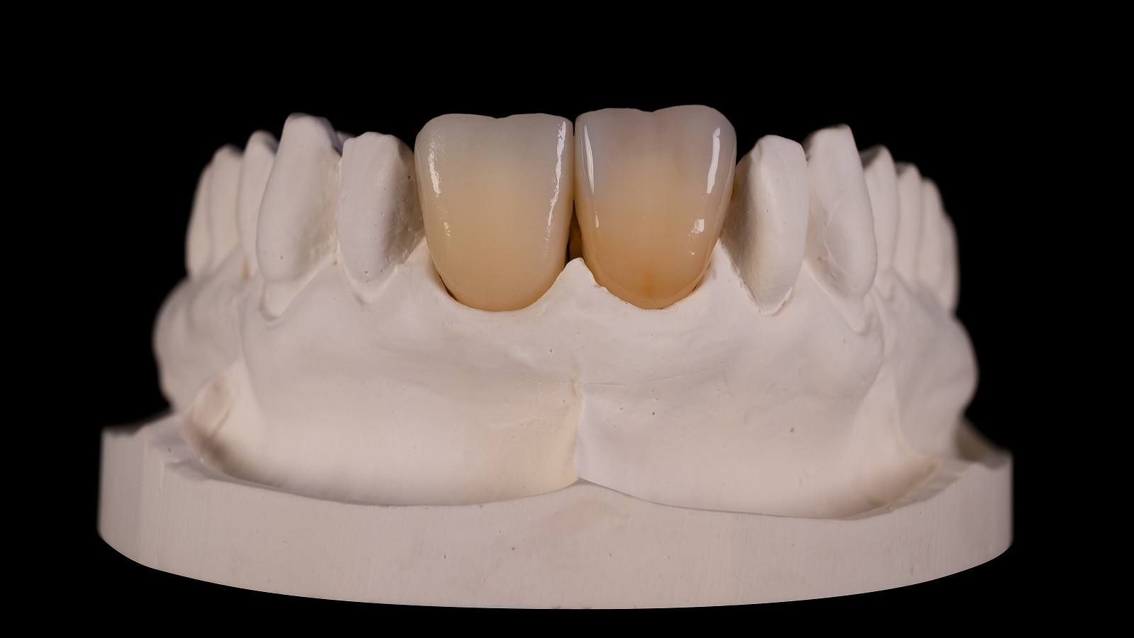
Δημιουργήστε εφέ διαφάνειας στην κοπτική περιοχή με HeraCeram cre-active 2D Aubergine.
Εφαρμόστε το HeraCeram cre-active 2D Anthracite στην άπω πλευρά και αναμείξτε προς την κοπτική άκρη. Εφαρμόστε το HeraCeram cre-active 2D Pacific στην εγγύς πλευρά και απλώστε προς την κοπτική άκρη.
Προσαρμόστε το χρώμα του δοντιού με το HeraCeram cre-active 2D Body A στην περιοχή της οδοντίνης.
Τελικό αποτέλεσμα μετά την όπτηση του HeraCeram cre-active 2D.