Ανακαλύψτε τη μαγεία των matrix υλικών του HeraCeram cre‑active. Τα εκπαιδευτικά μας βίντεο αποκαλύπτουν τα μυστικά για τη δημιουργία εξαιρετικών φωτεινοδυναμικών εφέ, για πραγματικά φυσικές αποκαταστάσεις.
Η έννοια του Matrix πραγματοποιημένη σε 3 οπτήσεις – Βίντεο
Η έννοια του 3D μακιγιάζ
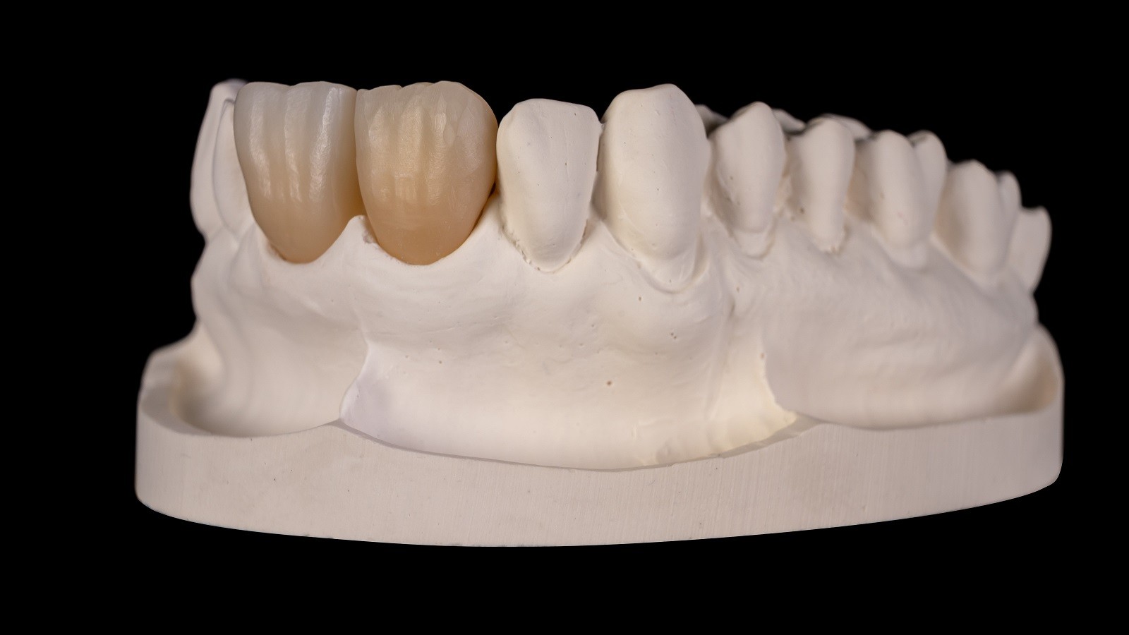
Ελάχιστα μειωμένος σκελετός ζιρκονίου πολλαπλών στρωμάτων σε A3 - έτοιμος για εξατομίκευση.
Εφαρμόστε ένα λεπτό στρώμα HeraCeram cre-active Glaze Fluo σε όλη την επιφάνεια. Ενισχύστε τη χρωματική ένταση στην αυχενική περιοχή με HeraCeram cre-active 2D SD2. Ρυθμίστε το χρώμα της οδοντίνης στην περιοχή του σώματος με HeraCeram cre-active 2D Body A. Δημιουργήστε εφέ διαφάνειας στην κοπτική περιοχή με HeraCeram cre-active 2D Aubergine.
Χρησιμοποιήστε HeraCeram cre-active 2D VL1, HeraCeram cre-active 2D VL3 και HeraCeram cre-active 2D MD3 για τη δημιουργία επαρμάτων. Ενισχύστε την αντίθεση με HeraCeram cre-active 2D Anthracite. Για να δημιουργήσετε μία εγκάρσια ζώνη, χρησιμοποιήστε HeraCeram cre-active 2D EH bright.
Αποτέλεσμα μετά την όπτηση του HeraCeram cre-active 2D.
Χτίστε τη μεσοδόντια άκρη με HeraCeram cre-active 3D OT1 και την άπω άκρη με HeraCeram cre-active 3D OT10. Για ένα χρωματικό τόνο στην κοπτική περιοχή, εφαρμόστε HeraCeram cre-active 3D OTA.
Γεμίστε την κοπτική περιοχή ξεχωριστά με HeraCeram cre-active 3D OT1, OTY, OTB και OS.
Αποτέλεσμα μετά την όπτηση του HeraCeram cre-active 3D.
Καλύψτε λεπτά την επιφάνεια με HeraCeram cre-active Glaze paste. Για εξατομίκευση, εφαρμόστε HeraCeram cre-active 2D Espresso powder στην εγγύς περιοχή οριζόντια και από πάνω χρησιμοποιήστε HeraCeram cre-active 2D EH bright για να ενισχύσετε την εγκάρσια ζώνη. Για να δημιουργήσετε το εφέ halo, τονίστε το κοπτικό χείλος με HeraCeram cre-active Milk
Τελικό αποτέλεσμα μετά την όπτηση.
Τελικό αποτέλεσμα σε διαπερατό φως από την υπερώια πλευρά.